
Réhabilitation bucco-dentaire esthétique, fonctionnelle et gestion de cas complexes
Sur demande motivée, recommandation ou adressage
Docteur Benoît Homassel, Chirurgien dentiste à Ornans
+ 15000 heures de soins dentaires effectués
+ 15 ans d’expérience
+ 600 heures de formation continue de référence
+ 250 heures de formation À L’INTERNATIONAL
+ 1000 implants dentaires posés

Vous souhaitez
- Investir pour améliorer durablement dans son sourire et son confort
- Retrouver un sourire harmonieux et naturel en quelques rendez-vous
- Que l’on réponde à une demande esthétique particulière
- Sortir d’une impasse de prise en charge
- Corriger les imperfections esthétiques et fonctionnelles
- Améliorer l’esthétique et la fonctionnalité
- Comprendre pourquoi vous êtes mal à l’aise avec vos dents et y remédier
- Retrouver du confort à la suite d’une situation dentaire complexe
- Investir pour améliorer durablement dans son sourire et son confort
Transformations


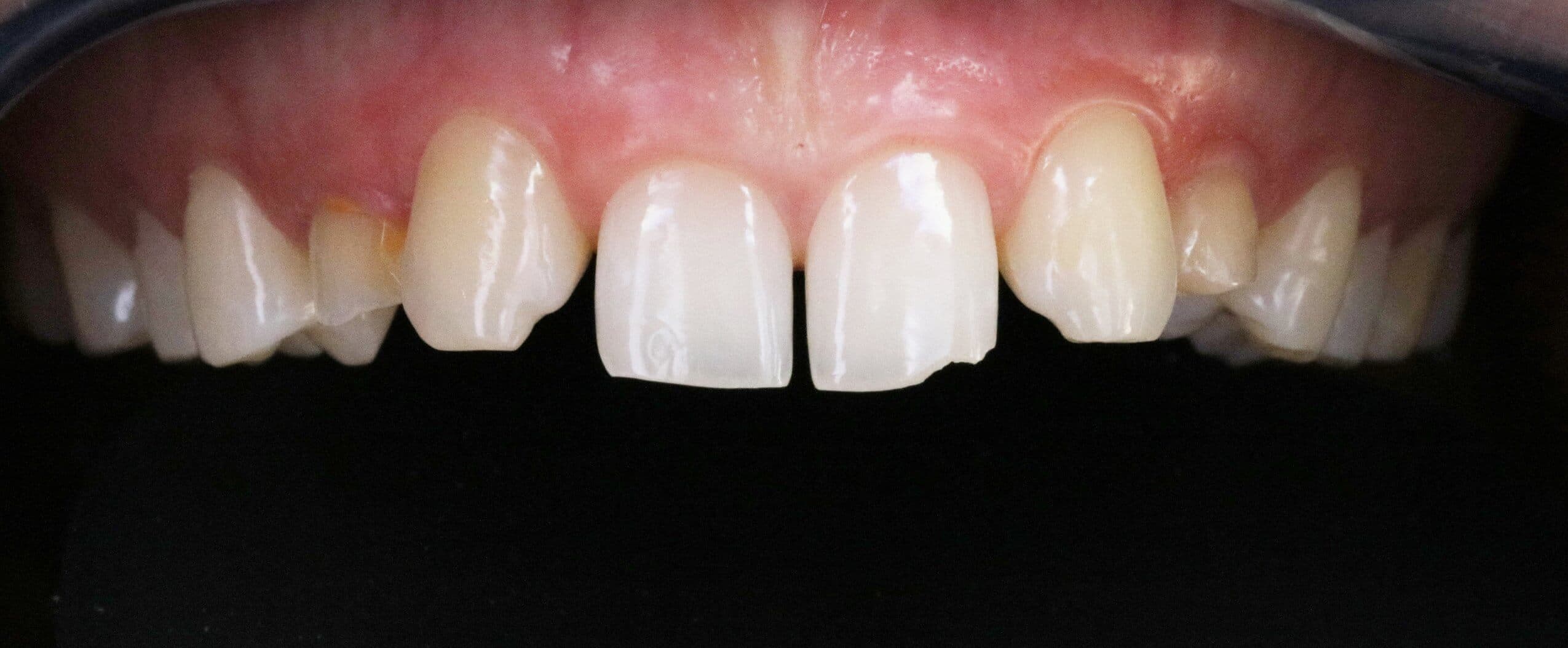
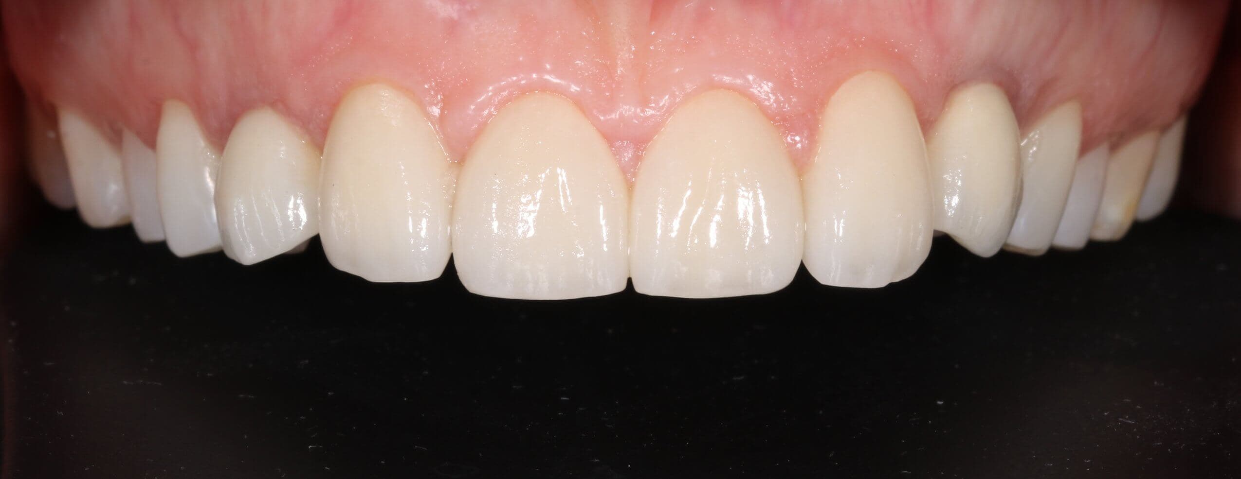
Illustration de réhabilitation fonctionnelle et esthétique par facettes, couronnes et implants


Illustration de réhabiliation focntionnelle par couronnes, résines composites et facettes


Illustration d'éclaircissement dentaire


Illustration de réhabilitation fonctionnelle par facettes et couronnes


Illustration d'éclaircissemeent dentaire


Illustration de réhabilitation fonctionnelle par facettes


Illustration de réhabilitation esthétique par facette et couronne


Illustration de réhabilitation fonctionnelle et esthétique par facettes, couronnes et implants


Illustration de réhabilitation fonctionnelle et esthétique par couronnes


Illustration de réhabilitation fonctionnelle et esthétique par facettes, couronnes et implants


Illustration de réhabilitation fonctionnelle et esthétique par facettes, couronnes et implants


Illustration de réhabiliation focntionnelle par couronnes, résines composites et facettes

Vous êtes à la recherche d’une équipe compétente et de confiance, avec un accueil confidentiel ?
Une équipe experte & humaine
Animé par une passion profonde pour son métier, le Dr Benoît Homassel se distingue par son expertise dans les traitements complexes et les réhabilitations globales, alliant esthétique, occlusion et fonction.
Passionné, rigoureux, il s’engage continuellement dans des formations notamment internationales. Sa quête permanente d'excellence lui permet d'offrir les solutions les plus innovantes à ses patients.
À ses côtés, une équipe attentionnée partage cette même vision d'excellence. Ensemble, ils créent un environnement où expertise technique et authenticité relationnelle se conjuguent harmonieusement. Chaque membre de l'équipe, uni par des valeurs communes fortes, s'engage à vous accueillir avec bienveillance et respect, loin de tout jugement, pour vous offrir une expérience de soins personnalisée et enrichissante.
Vous recherchez un cabinet qui offre une dentisterie à la fois moderne, technologique et profondement personnalisée ?
Nos valeurs : dentisterie contemporaine personnalisée
Notre philosophie repose sur une approche moderne et respectueuse, guidée par la préservation de vos tissus dentaires naturels. Équipés des dernières innovations technologiques et formés aux techniques les plus avancées, nous vous offrons une expertise digne des meilleurs cabinets des grands centres urbains, nichée au cœur de la Vallée de la Loue, à seulement 30 minutes de Besançon.
Votre santé bucco-dentaire mérite une attention aussi singulière que vous l'êtes. C'est pourquoi notre accompagnement allie une vision globale à un suivi véritablement personnalisé. Nous prenons le temps d'étudier votre situation dans sa globalité, en prenant en compte votre historique de soin, et conjuguons harmonieusement trois piliers essentiels : l'esthétique de votre sourire, la fonctionnalité optimale de votre dentition, et une stratégie préventive adaptée à votre mode de vie.


Vous êtes à la recherche d’un cabinet dans lequel vous pouvez effectuer une large gamme de soins de qualité sans devoir multiplier les consultations chez les spécialistes ?
Nos domaines d’expertise
Notre expertise se concentre sur les réhabilitations complexes et globales, alliant parfaitement esthétique et fonctionnalité dentaire. Nous transformons sourires et capacités masticatoires grâce à des techniques de pointe qui reconstituent l'harmonie de votre dentition. Des solutions sur-mesure vous permettent de retrouver non seulement une apparence naturelle et rayonnante, mais aussi une fonctionnalité optimale, que ce soit par des restaurations adhésives, des traitements implantaires innovants ou des reconstructions globales.
Notre approche biomimétique et nos technologies de dernière génération nous permettent de réaliser des interventions précises qui respectent l'intégrité de vos tissus dentaires tout en répondant à vos objectifs esthétiques et fonctionnels les plus exigeants.
Vous êtes à la recherche d’une solution prévisible et durable pour améliorer votre sourire sans devoir enchaîner les rendez-vous pendant des mois ?
Smile makeover : un nouveau sourire en 4 rendez-vous
Les facettes en céramique sont la solution esthétique ultime pour transformer radicalement votre apparence dentaire. Notre expertise en réhabilitation esthétique vous propose une approche unique : un processus optimisé en seulement 4 rendez-vous minutieusement orchestrés. Chaque étape est conçue pour maximiser votre confort et garantir un résultat parfaitement personnalisé.
Nos facettes sont méticuleusement façonnées par un artisan céramiste français d'excellence, qui apporte une qualité artisanale et un savoir-faire traditionnel à chaque restauration. De l'analyse initiale au collage définitif, nous simplifions votre parcours de transformation, en combinant des techniques de pointe et une approche sur-mesure. Ces facettes haute précision s'intègrent harmonieusement à l'architecture de votre visage, transcendant la simple correction dentaire pour créer un sourire qui vous ressemble vraiment.


Contactez le docteur homassel, chirurgien dentiste à Ornans
Prendre contact
Nos patients témoignent
Anne-Lise B.
Surprenant d'écrire cela pour une visite chez le dentiste mais c'est toujours agréable de venir au cabinet du Dr Homassel, que ce soit grâce au cadre apaisant ou l'accueil chaleureux !
Valéry R.
Super chirurgien dentiste passionné par son métier, très soucieux du travail bien fait. Bienveillance absolue. Cabinet magnifique au dessus de la rivière Loue. Téléviseur au plafond avec reportage animalier pendant les soins. Propreté irréprochable. Je conseille vivement.
Dominique T.
Des horaires de rdv ponctuels. Un accueil très chaleureux. Une prise en charge des soins de haute qualité. Un. Cabinet dentaire d'exception. Merci à vous deux !
Lucie D.
Que ce soit l'assistante dentaire comme le dentiste, ils sont tous les deux professionnels, à l'écoute, rassurant et ils expliquent tout. Ils sont vraiment parfait . Et la cerise sur le gâteau, le cabinet est magnifique. On s'y sent bien et détendu. Je recommande à 2000%
Jacqueline A.
Super accueil ! Dentiste au top. Beaucoup d'explications sur les soins qui vont être effectués et ensuite détail de ce qui a été réalisé. Je conseille fortement ce cabinet dentaire.
Anne-Lise B.
Surprenant d'écrire cela pour une visite chez le dentiste mais c'est toujours agréable de venir au cabinet du Dr Homassel, que ce soit grâce au cadre apaisant ou l'accueil chaleureux !
Valéry R.
Super chirurgien dentiste passionné par son métier, très soucieux du travail bien fait. Bienveillance absolue. Cabinet magnifique au dessus de la rivière Loue. Téléviseur au plafond avec reportage animalier pendant les soins. Propreté irréprochable. Je conseille vivement.
